💬 ¿Tienes preguntas sobre tu sonrisa o tratamiento dental? ¡Chatea con nosotros!
Consultorio Odontológico del Huila
Chatbot Consultorio Odontológico del Huila En línea

Blog

Nuestro Blog > Post

Ortodoncia en Adolescentes: Un Caso de Éxito que Refleja Disciplina y Sonrisas Personalizadas

|

Ortodoncia en Adolescentes: Un Caso de Éxito que Refleja Disciplina y Sonrisas Personalizadas

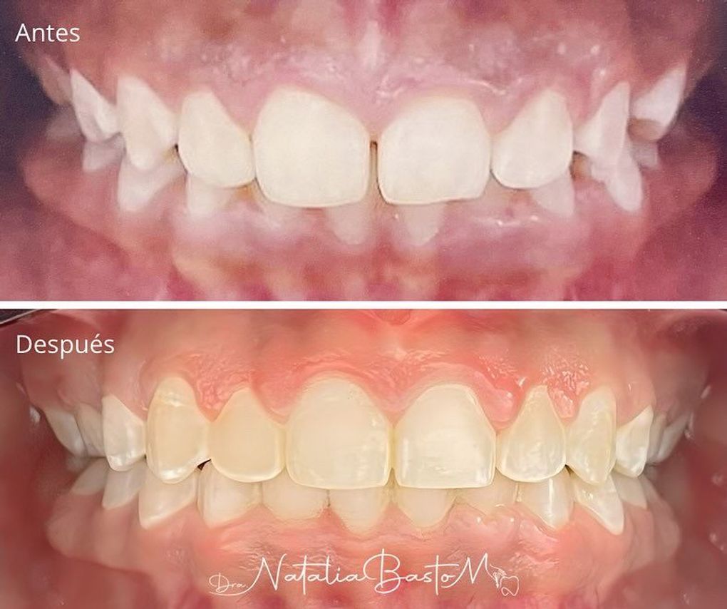
En el Consultorio Odontológico del Huila, cada sonrisa cuenta una historia diferente. Hoy queremos compartir la de una joven de 15 años que acaba de culminar su tratamiento de ortodoncia con resultados que reflejan no solo el trabajo profesional, sino también el compromiso y la constancia de la paciente.

Desde el inicio, el objetivo fue claro: lograr una sonrisa alineada, estética y funcional. Durante todo el proceso, la paciente asistió con disciplina a sus controles mensuales, cuidó su higiene oral y siguió las indicaciones al pie de la letra.

Gracias a esa constancia, al finalizar el tratamiento obtuvimos una sonrisa armónica, equilibrada y saludable, demostrando que los mejores resultados se alcanzan cuando el trabajo en equipo entre profesional y paciente funciona a la perfección.

Una sonrisa que refleja personalidad

Al concluir la ortodoncia, llegó el momento de adaptar los retenedores, una etapa fundamental para mantener los resultados a largo plazo. Pero este caso tuvo un toque especial: la joven decidió personalizar sus retenedores, eligiendo un diseño rosado con escarcha y estrellitas, reflejando su estilo y personalidad.

En nuestro consultorio ofrecemos la opción de personalizar los retenedores, especialmente pensada para nuestros pacientes más jóvenes. Este detalle convierte los tratamientos de ortodoncia en una experiencia más amena y atractiva, ayudando a que los adolescentes usen sus retenedores con agrado y compromiso.

Compromiso y resultados que hablan por sí solos

El tratamiento de ortodoncia de esta paciente fue exitoso gracias a la combinación perfecta de factores:

  • Un diagnóstico preciso y un plan de tratamiento personalizado.

  • Controles mensuales constantes y supervisados.

  • Buena higiene oral y compromiso con el proceso.

El resultado final no solo fue una sonrisa bonita, sino una sonrisa saludable y funcional, lo que representa la meta principal de cada tratamiento que realizamos en el Consultorio Odontológico del Huila.

Más que estética: confianza y bienestar

En la adolescencia, la sonrisa tiene una influencia positiva en la autoestima y la seguridad personal. Ver la felicidad en nuestros pacientes al finalizar su proceso es, sin duda, la mayor recompensa para todo nuestro equipo.


Tu sonrisa también puede ser un caso de éxito

Si estás pensando en iniciar un tratamiento de ortodoncia o deseas mejorar tu sonrisa, en el Consultorio Odontológico del Huila te acompañamos en cada paso del proceso, desde la valoración inicial hasta la etapa de retención.

📍 Agenda tu cita y descubre cómo podemos ayudarte a lograr una sonrisa e

Imagen del blog Imagen del blog Imagen del blog Imagen del blog